Knie Bot Op Bot

Knie Bot Op Bot. Boggi Bot + Knife = ??? FNAF ANIMATION YouTube Bij knie-protheses treedt het probleem van een versleten prothese eerder op dan bij heupprotheses. Om deze reden is het in mijn ogen een psychologische sloopkogel! Wanneer we mensen vertellen dat ze "bot-op-bot" röntgenfoto's hebben of de knieën van een 90-jarige, is dat in veruit de meeste gevallen eerder schadelijk dan behulpzaam.

Critical Ops Only Using Knife Against Bots In Deathmatch YouTube
Critical Ops Only Using Knife Against Bots In Deathmatch YouTube from www.youtube.com

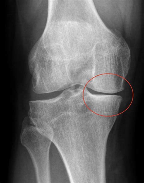
De verdunning van het kraakbeen wordt opgedeeld in verschillende graden van lichte graad (graad 1: verdunning/uitrafeling van kraakbeen) tot volledige slijtage (graad 4: geen kraakbeen meer aanwezig, zogenaamd bot-op-bot contact) Artrose aan de knie wordt ook wel gonartrose genoemd

Critical Ops Only Using Knife Against Bots In Deathmatch YouTube

Bij een knieprothese wordt het gewricht vervangen door metalen platen die in het bot wordt geplaatst Omdat in het kraakbeen heel erg weinig pijnreceptoren zitten, kan het niet direct pijn registreren. Dat zorgt voor pijn en kan zelfs een hoorbaar krakend geluid veroorzaken

Knieendoprothesen. Vooral op oudere leeftijd is er een hoog succespercentage voor pijnvermindering en mobiliteit. Het veroorzaakt weken of maanden pijn en de beste manier om het genezingsproces te bevorderen is door het geneusde bot of gewricht te laten rusten, te ondersteunen en te beschermen en door behandeling te ondergaan.

MRI anatomie knie, enkel en voet benaming vlakken Hoe ziet het bot eruit op de volgende. Hoewel osteoartritis voornamelijk bij ouderen wordt gezien, kan het al vanaf de kindertijd beginnen, omdat het kraakbeen op lange termijn slijt. Het is een beschermingsreactie van het lichaam tegen artrose, om de extra druk die wordt veroorzaakt te verdelen over een breder vlak.